





Finished! Looks like this project is out of data at the moment!
We've just added a brand new workflow to Etch A Cell - ImmunoExplorers! Check out 'Workflow 2 - Nuclei Hunters'! Thanks for being here 😃
How frequently do you see immune cells in images?
This is really difficult to answer as the number of immune cells is highly variable depending on the data; some data sets may only have a handful of immune cells across all the images, whereas others may have around 100 or so across all the images - sometimes you will look at lots of images and see no immune cells and sometimes you may see multiple immune cells in one image.
What is an electron microscope?
A traditional microscope uses light to illuminate a specimen, whereas an electron microscope uses a beam of electrons. Using an electron microscope rather than a light (photon) microscope allows us to look at smaller objects. This is because electrons have a much shorter wavelength than photons, and so are able to distinguish smaller objects.
This is an electron microscope
Â
What can you look at using an electron microscope?
Electron microscopes can be used to study a huge range of biological specimens, from tiny molecules such as proteins, to larger structures such as cells or tissues, and everything in between. Electron microscopy can be used to advance our understanding of many different processes, such as how healthy cells grow and develop, how bacteria and viruses infect our cells, how our immune systems fight infectious diseases and cancer, how our brains work and how we age.
Image of a cell taken with an electron microscope. This particular cell is a HeLa cell, a type of cancer cell that is widely used in scientific research.
Â
Where has the tissue used in the project come from?
The images used in this project were created by imaging kidney tissue. The tissue was donated by patients who have agreed to donate their biological samples to the Imperial College Healthcare Tissue and Biobank (ICHTB, run by Imperial College London and Imperial College Healthcare NHS Trust).
Â
What is the Imperial College Healthcare Tissue and Biobank (ICHTB)?
ICHTB helps to carry out high quality healthcare-related research to better understand diseases and improve future treatments.
Â
How do we study the feature of interest in the image?
An image taken with an electron microscope contains a huge amount of information. The information we want to extract from an image will depend on our particular research question. Until recently though, most electron microscopes could only give a 2D view from a very thin slice through a cell or tissue. This was a problem because humans aren’t very good at visualising 3D structures from a 2D image. Think of the difference between seeing a city on a 2D map, and actually visiting that city and moving through it and seeing how all the roads and buildings and rivers and people interact with each other in 3D.
How can we study specimens in 3D?
We can look at a cell in 3D using different types of microscope, the two we have used here are called a serial block face scanning electron microscope (SBF SEM) and a focused ion beam scanning electron microscope (FIB SEM). In these microscopes, the cell surface is imaged, and then a thin ‘section’ is cut away, and then the cell is imaged again. A diamond knife is used to cut the sections away in the SBF SEM and a highly focused beam of heavy ions is used in the FIB SEM. These microscopes can cut sections so thin that it would take 2,000-20,000 sections to cut through the width of a single human hair! This process of cutting and imaging creates a series of 2D images.
Serial block face scanning electron microscopy
Â
How can we generate a 3D model from lots of 2D images?
One way to convert these 2D images into a 3D model is to draw around the feature(s) of interest. This is known as ‘segmentation’. We also call it ‘advanced colouring in’!
Here's Anne segmenting an image in our lab
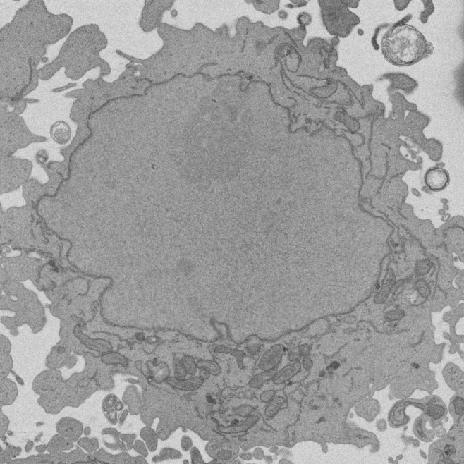
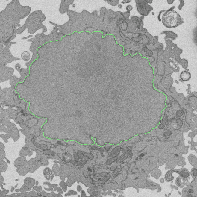
In this image the cell's nucleus is "segmented", with the annotation overlay toggling on and off for clarity
Â
How can this be used to generate a 3D structure?
A 3D model of the cell can be created by combining the segmentations from the series of 2D images produced by the serial block face scanning electron microscope. The individual segmentations are stacked together to create a 3D surface. It is much easier for humans to understand this 3D nuclear envelope, and to compare it to diseased nuclear envelopes, than it is to understand the 2D images showing a very small part of the structure. In the example below, you can just make out the individual segmentations as the approximately horizontal ridges on the 3D surface.
3D reconstruction of 2D segmented images of a nucleus from our first Etch A Cell project
Â
Is there a save button to come back to the same image later on/on a different day?
Unfortunately we don't have a save tool, please just do what you can. click 'Done', and come back to visit us another day!
Â